關於典叡
醫療團隊
醫療項目
人工植牙
全口重建
齒顎矯正
隱形矯正
牙周治療
兒童牙科
顯微根管
舒眠治療
全瓷牙冠
兒童早期矯正
專業設備
案例分享
假牙案例
植牙案例
牙周病案例
齒顎矯正案例
鼻竇增高案例
門診時間
最新消息
關於典叡
醫療團隊
醫療項目
+
–
人工植牙
全口重建
齒顎矯正
隱形矯正
牙周治療
兒童牙科
顯微根管
舒眠治療
全瓷牙冠
兒童早期矯正
專業設備
案例分享
+
–
假牙案例
植牙案例
牙周病案例
齒顎矯正案例
鼻竇增高案例
門診時間
最新消息
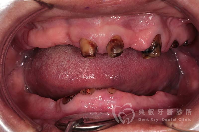
假牙案例十一
首頁
/
案例分享
/
假牙案例
/
假牙案例十一
術前
術後
分享到
關閉