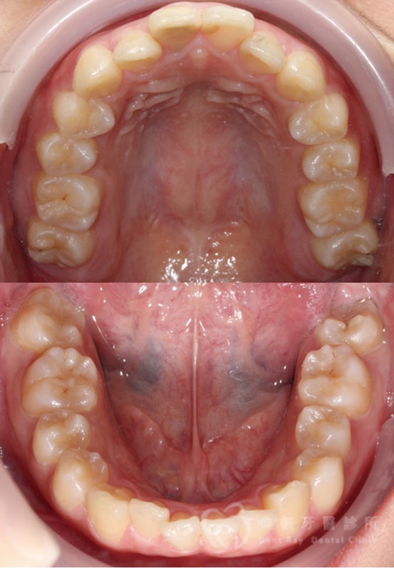
暴牙嘟嘴案例二

術前

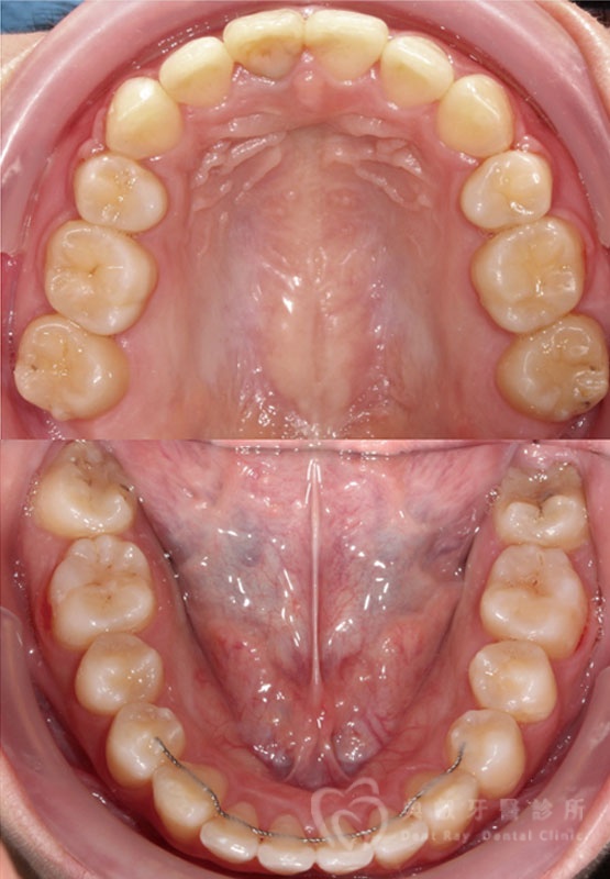
暴牙嘟嘴案例二

術後

暴牙嘟嘴案例二

術前

暴牙嘟嘴案例二

術後

暴牙嘟嘴案例二

術前

暴牙嘟嘴案例二

術後

暴牙嘟嘴案例二

術前

暴牙嘟嘴案例二

術後

關閉