暴牙嘟嘴案例一

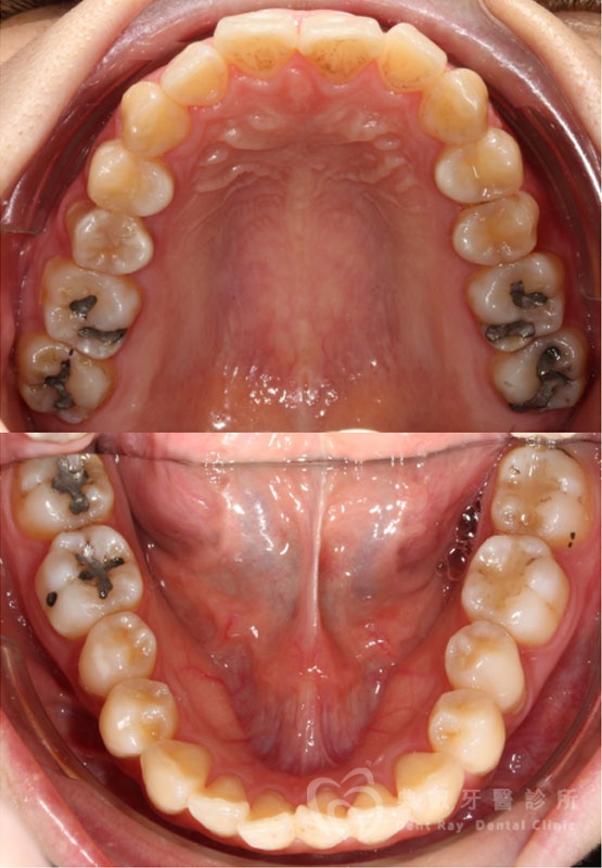
術前

暴牙嘟嘴案例一

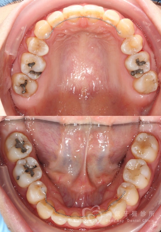
術後

暴牙嘟嘴案例一

術前

暴牙嘟嘴案例一

術後

暴牙嘟嘴案例一

術前

暴牙嘟嘴案例一

術後

暴牙嘟嘴案例一

術前

暴牙嘟嘴案例一

術後

關閉